A Dentisteria constitui a área da Medicina Dentária responsável pela restauração de dentes que apresentem lesões cariosas, fraturas, alterações de côr ou forma, restituindo, desta forma, a sua aparência original. A dentisteria pode, então, dividir-se em restauradora e estética.
Dentisteria Restauradora:
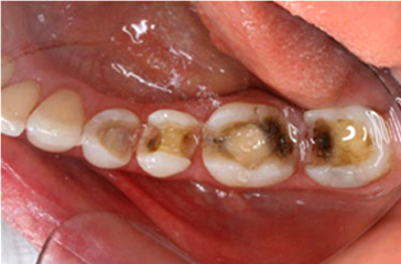
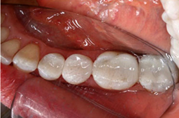
Área da Medicina Dentária que permite restituir a anatomia dentária perdida por cárie. A cárie é uma afeção oral que pode ser causada pela destruição localizada dos tecidos dentários, através da ação bacteriana. Uma alimentação rica em açúcares, a presença de placa bacteriana, alterações da saliva, entre outros, são fatores etiológicos que podem levar ao desenvolvimento de cárie dentária. O tratamento passa pela remoção de toda a estrutura cariada, resultando na formação de uma cavidade que é preenchida com um de dois materiais restauradores altamente biocompatíveis: amálgama ou resina composta (compósito).
As imagens seguintes representam casos clínicos de tratamentos restauradores de dentes cariados:

Dentisteria Estética:
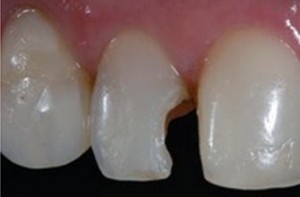
Pode solucionar situações de traumatismos e fraturas dentárias, alterações de côr (branqueamentos) ou malformações dentárias congénitas. A evolução dos materiais estéticos reconstrutivos (resinas compostas, permitem a total resolução de problemas estéticos, como pigmentação dos dentes, diastemas (espaço entre os dentes anteriores), rotação de dentes, alterações estéticas e morfológicas de dentes, podendo ser corrigidos de maneira rápida e imperceptível, com óptimos resultados estéticos.


Tendo à sua disposição materiais de alta qualidade e adequados às novas tecnologias, o Centro Médico do Aljube conta com a experiência e dedicação de Médicos Dentistas aptos a restaurar os dentes de forma conservadora e estética, seja de forma individual ou em equipa.